新闻中心  
免疫健康与治疗 您当前的位置:首页>新闻中心>研究进展>免疫健康与治疗
 
免疫细胞疗法上演肺部结节“消失术”一个真实的案例分享,输注3次NK细胞,肺结节消失了!
日期:2025-01-03  浏览次数:991
“医生,我的体检报告上显示我是肺部结节,需要做手术吗?是良性还是恶性的呀?”
对于体检中发现的肺部结节,许多人都会惊慌失措,担心自己是得了肺癌。

经过多家医院检查,得知自身结节不具备肿瘤的典型特征,才稍感安慰。但是也产生了新的难题,因为每家医院给的诊疗方案各不相同,有的说要随访观察,保守治疗,有的却主张进行手术,以绝后患,这到底该听谁的呢?

图片

肺结节的传统治疗

直径小于8毫米肺部结节,随访为主

正常情况下,医生会根据结节的大小、形态来判断结节的性质,从而给出治疗方案。

目前认为,直径小于8毫米的结节在短时间内发展成为肺癌的可能相对较小。
所以一般情况下,小于8毫米的肺部结节会以随访观察为主,根据动态变化随时斟酌对策。
如果不知结节是否病变之前,贸然手术,等到最后发现结节可能一直会是良性时,这刀就白挨了。
且手术还需承担各种风险,如切除的肺组织不可再生,手术后的肺部功能会降低……权衡利弊之下,接受医院观察随访,在结节病变之前及时手术切除,或许才是上上之策。
 
体积大于10毫米的肺部结节,需进一步检查

对体积大于10毫米的肺部结节,医生一般会增强CT、PET-CT等功能显像的检查,来区分结节的良恶。
若结节不规则,边缘粗糙,有毛刺,且在随访观察中,直径不断增大,就要警惕可能是恶性结节,需尽早手术治疗。

当然,万事无绝对!对于小于8毫米且高度怀疑肿瘤性病变的的肺部小结节,尽管它生物学行为弱,发展较慢,有时几年都无变化或轻微增大,但也不能对它掉以轻心,因为它有转移播撒的可能,如果任其变大或者密度变高,再去斟酌处理,可能为时晚矣!
如果一个小手术,就能解决肿瘤性肺部小结节浸润、转移、气道内播撒的风险,何乐而不为呢!

免疫细胞疗法针对肺部结节
面对结节,想要切除,但是又怕是良性不会变坏,白挨一刀,但是揣着个随身“炸弹”整日又提心吊胆,那有什么办法既不用手术,又能解决结节的吗?

免疫细胞,是一种健康无副作用,解决结节的方法。

结节有良恶之分,其中良性结节常见的有炎症、结核、真菌感染等。
而免疫细胞正是人体清除病毒、细菌以及突变细胞、癌细胞的主力军,消灭结节中的肿瘤细胞,以及各种细菌,正是免疫细胞的职责。(注意!如果是炎性结节,不建议使用免疫细胞疗法,可用干细胞。)
免疫细胞疗法,是将健康优质的免疫细胞回输到患者体内,增强其免疫功能,杀灭结节中的病原体和突变细胞,缩小甚至消除结节。

免疫细胞干预肺部结节 

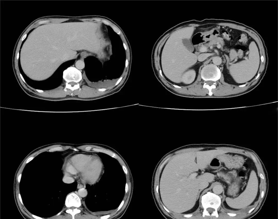
44岁的王先生经过体检,发现右肺脏层胸膜表面之下(肺的内部),存在两枚磨玻璃结节,其中较大者直径有7.6mm,医生建议随访。
图片

王先生为此走访了很多专家医生,医生建议除了定期复查外,需提高自身免疫力。王先生通过朋友推荐使用了一个疗程的免疫细胞应用。治疗几个月后,王先生再次复查,很神奇,肺结节不见了。
图片
免疫细胞疗法,只需采取脐带或自身外周血,进行提取、培养、扩增免疫细胞,再回输体内,这种生物医学疗法既不伤害身体,又能解决结节。相信随着技术的发展,免疫细胞疗法将能够造福更多的患者。
这兴许是一个个例,但它也是一种新的启示。
在生命面前人人平等。短短几十年,我们也许顺其自然的享受着生命的每一天,我们身边时常会听到某某某富翁突然离世或身患重病难以医治的例子,可是有些事情不能等,一定要趁早,健康是1,是人生的开始,0是成就,没有1,再多的0也都无的放矢。


上一篇:Nature | 让衰老免疫系统重回年轻的抗体疗法
下一篇:没有了!
OEM:201107272203261305